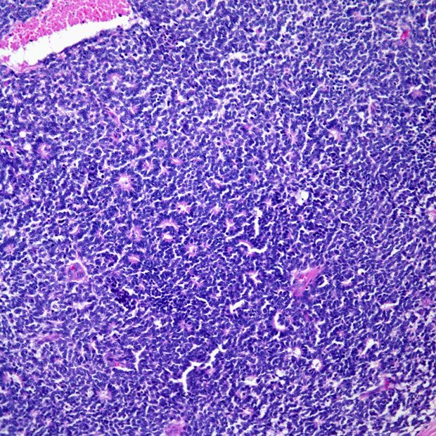
A 1-year-old child presents with leukocoria secondary to retinal detachment. Enucleation of the eye is performed. What is your diagnosis?
A 1-year-old child presents with leukocoria secondary to retinal detachment. Enucleation of the eye is performed.

What is your diagnosis?