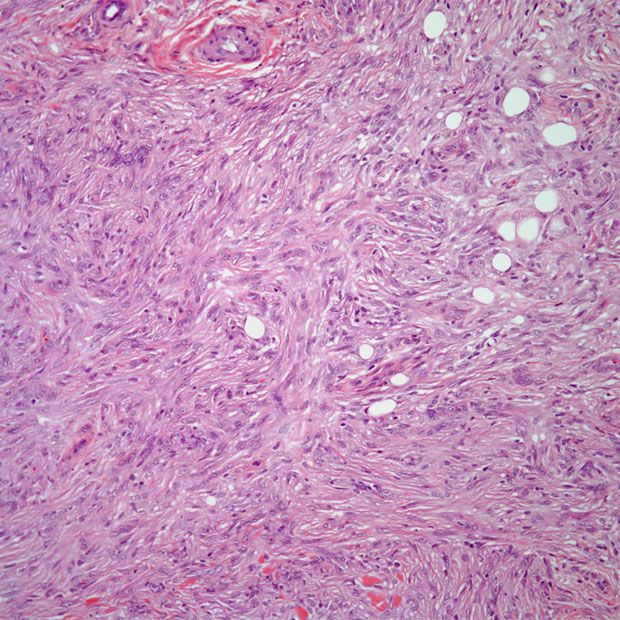
A 22-year-old man presents with a firm, painless nodule on his arm that is approximately 1 cm in size. No discoloration of the skin is identified. What is your diagnosis?
A 22-year-old man presents with a firm, painless nodule on his arm that is approximately 1 cm in size. No discoloration of the skin is identified.

What is your diagnosis?