A 22-year-old Caucasian woman presents with a four month history of pain, tenderness and swelling in her right breast. What's your diagnosis?
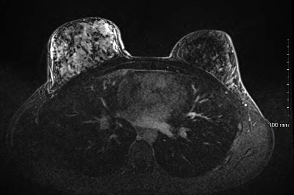
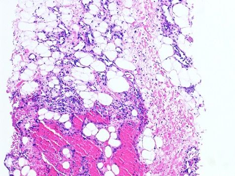
A 22-year-old Caucasian woman presented with a four month history of pain, tenderness and swelling in her right breast. Initial treatments with antibiotics and steroids were unhelpful. She had continued to have diffuse swelling and tenderness in her right breast and also noted bruising on the overlying skin. An ultrasound of the right breast showed a large, diffuse, irregular, echogenic lesion, suggesting inflammation or tumor. A mammogram confirmed diffuse mass-like density corresponding to the echogenic mass seen on the ultrasound. A bilateral breast magnetic resonance imaging (MRI) reported diffuse abnormal signal and enhancement throughout the entire right breast (Figure 1). A right breast needle biopsy was performed (Figure 2).


Based on the images shown, what is your diagnosis?