A 23-year-old with no relevant prior medical history presents with pain in the right leg. What is your diagnosis?
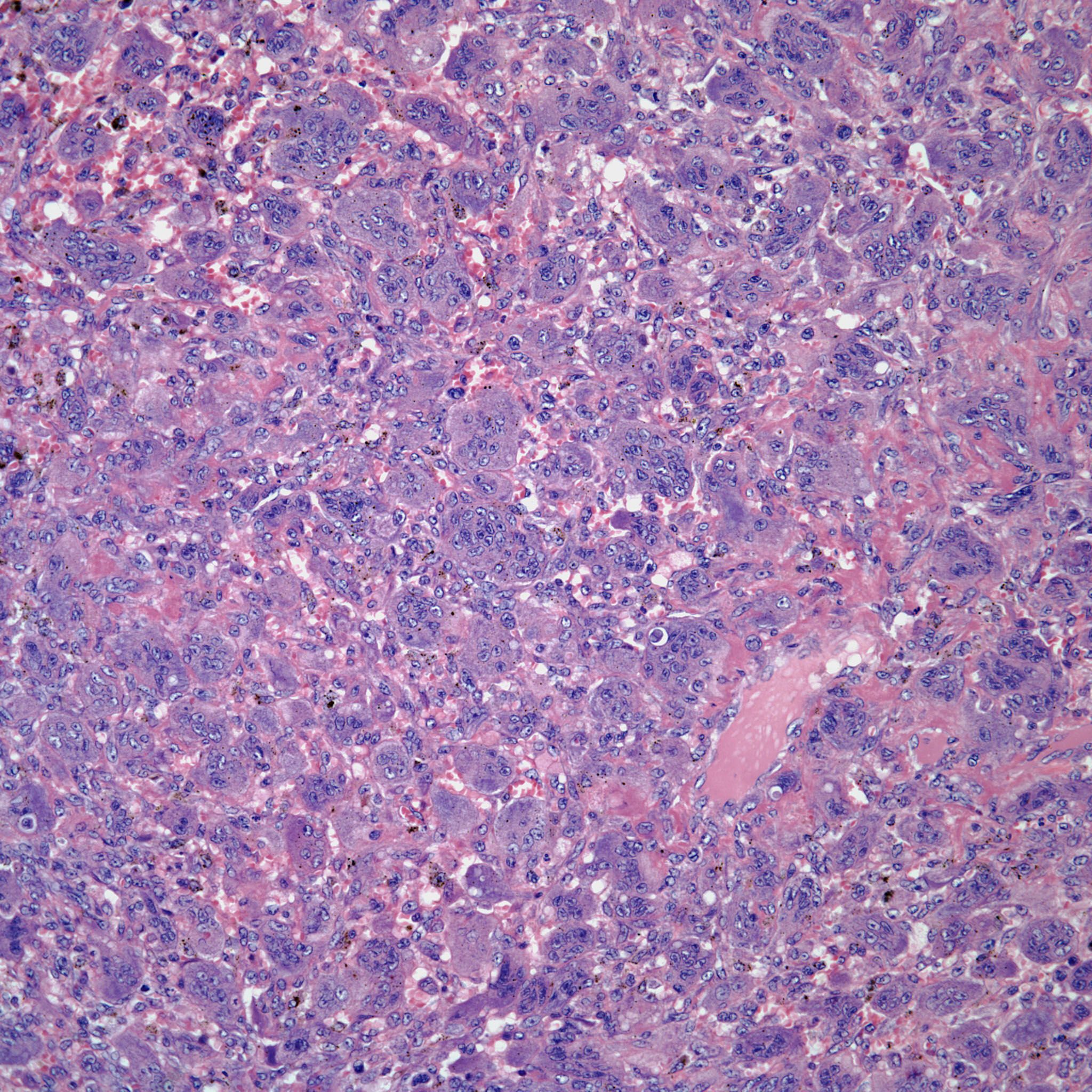
A 23-year-old young man presents with pain in the right leg. The patient does not have any pertinent clinical history. Diagnostic imaging shows a lytic lesion in the distal femur. A surgical biopsy is performed. What is your diagnosis?

Based on the image shown, what is your diagnosis?