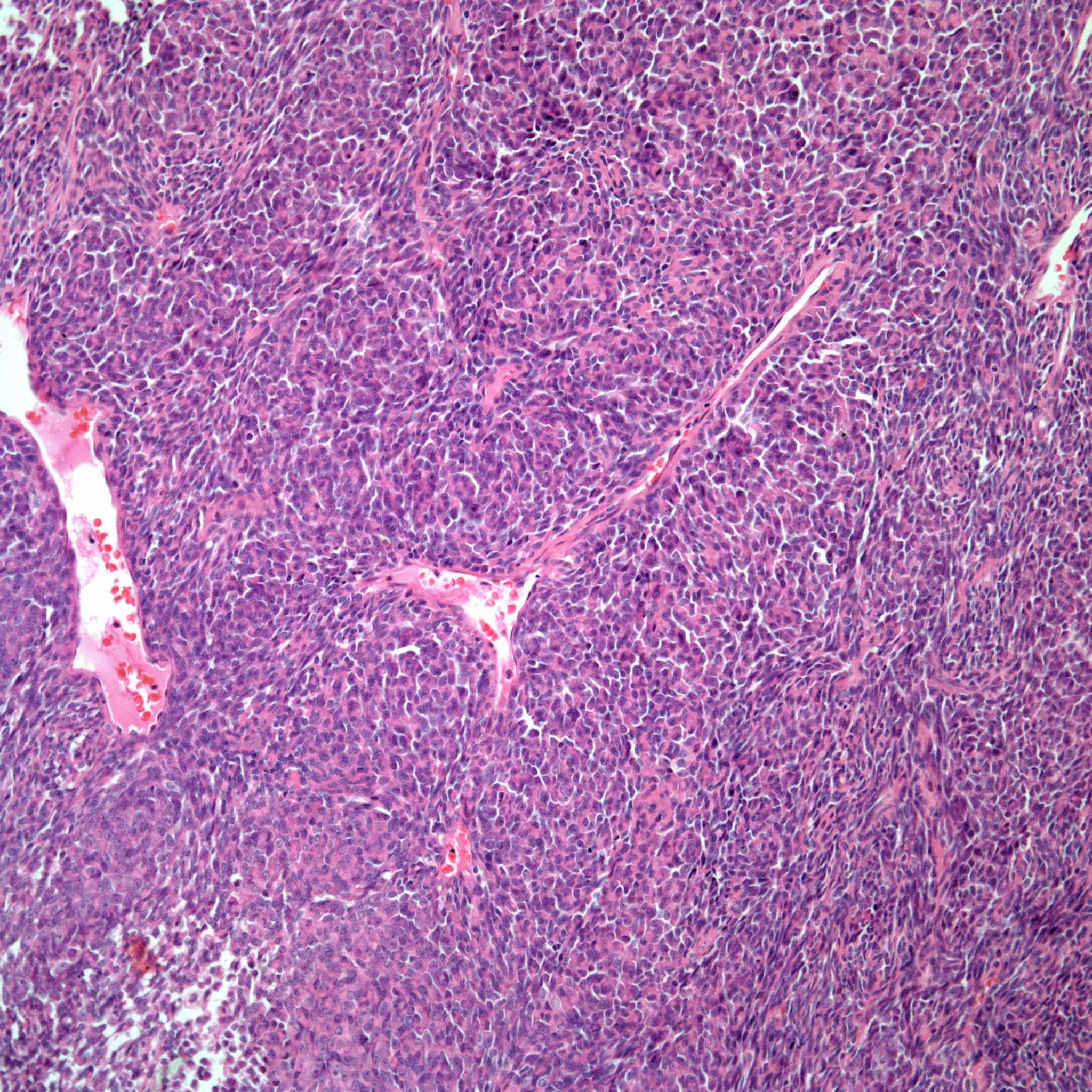
A 23-year-old young man presents with pain in his left calf. A physical examination detects a mass in the calf area. What is your diagnosis?
A 23-year-old young man presents with pain in his left calf. A physical examination detects a mass in the calf area.

Based on the image shown, what is your diagnosis?