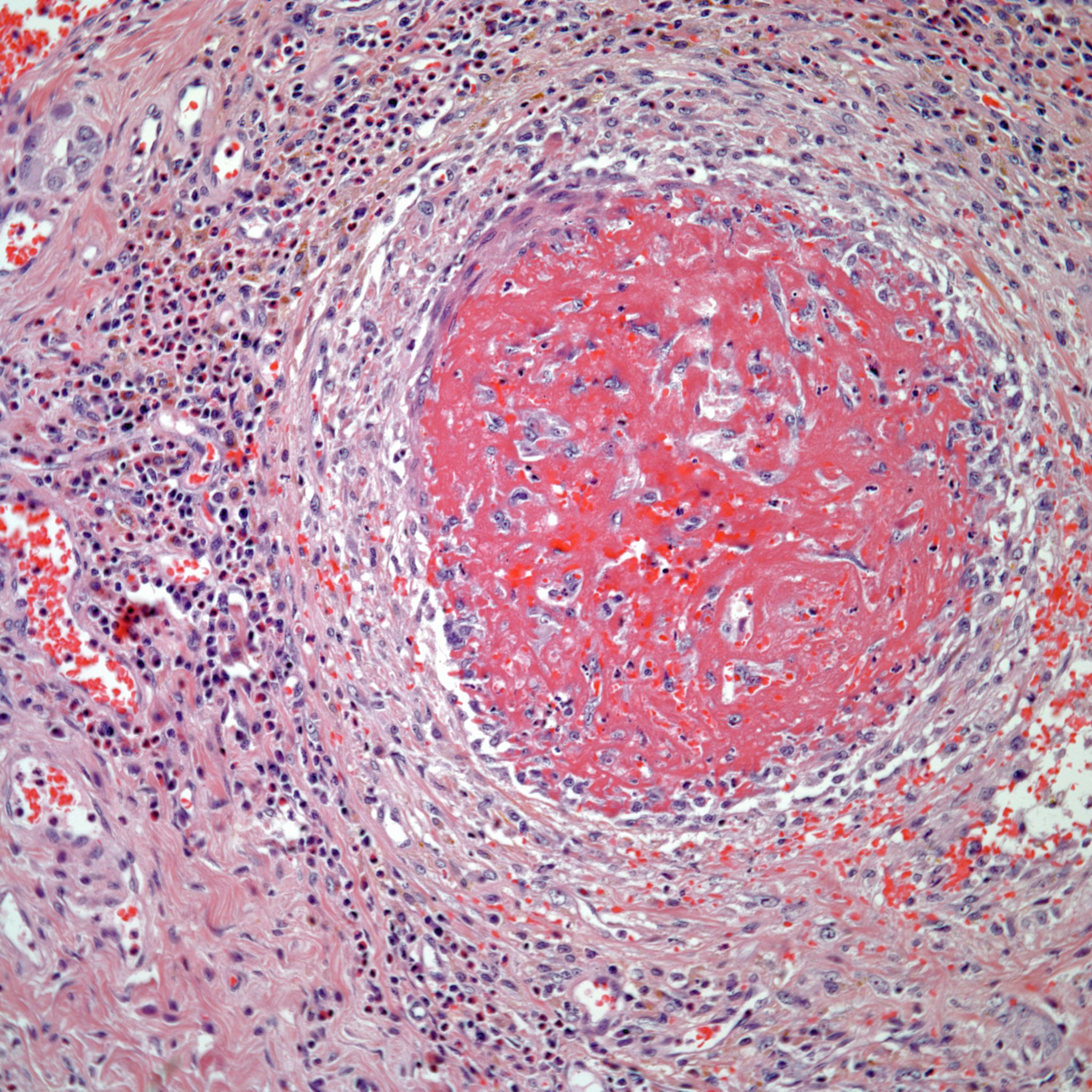
A 23-year-old man, with no history of malignancy, presents with a soft tissue mass in the left side of the abdomen. What's your diagnosis?
A 23-year-old man presents with a soft tissue mass in the left side of the abdomen. The patient doe not have any history of malignancy and the only relevant clinical history is that of long standing asthma. Surgical excision of the mass is performed.

Based on the image shown, what is your diagnosis?