A 24-year-old young woman presents with pelvic pain and a mass in the left side. After further evaluation, a biopsy is performed. What is your diagnosis?
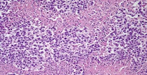
A 24-year-old young woman presents with pelvic pain and a mass in the left side. After further evaluation, a biopsy is performed. According to the histopathology image below, what is your diagnosis?
.JPG?fit=crop&auto=format)
What is your diagnosis?