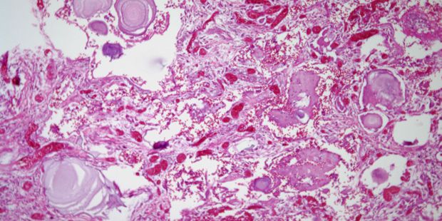
A 27-year-old woman presents with severe dyspnea. Imaging shows diffuse, bilateral infiltrates, and a biopsy is performed. What is your diagnosis?
A 27-year-old woman presents with severe dyspnea. Imaging shows diffuse, bilateral infiltrates, and a biopsy is performed.

Based on the image shown, what is your diagnosis?