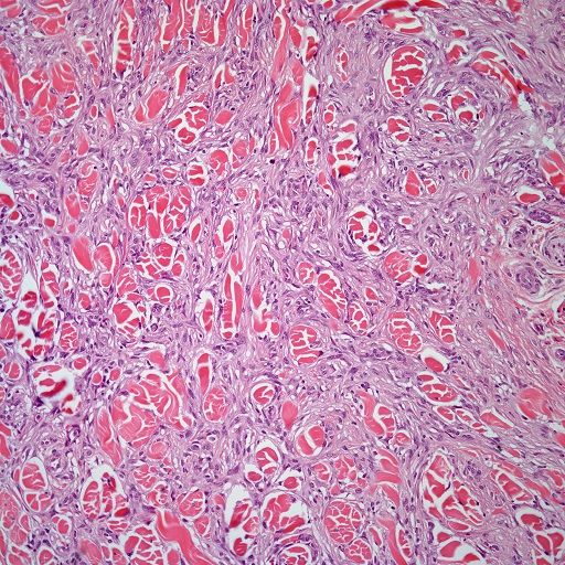
A 32-year-old man presents with a firm nodule in his arm. Resection of the nodule is performed. What is your diagnosis?
A 32-year-old man presents with a firm nodule in his arm. Resection of the nodule is performed.

Based on the image shown, what is your diagnosis?