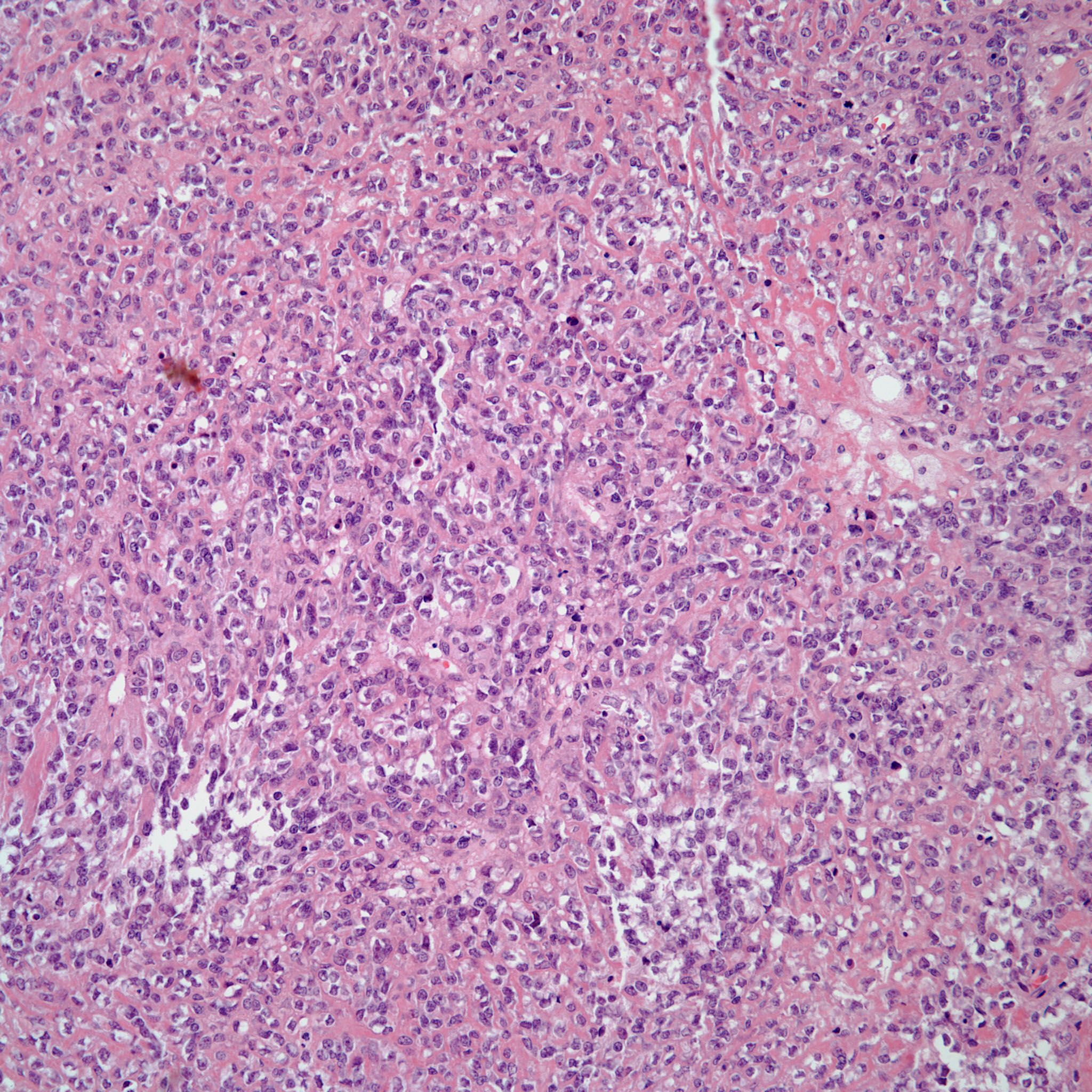
A 32-year-old man presents with pain in the lower back of several weeks’ duration. What is your diagnosis?
A 32-year-old man presents with pain in the lower back of several weeks duration. During physical examination, a soft tissue mass is detected in the soft tissue of the lower back. Diagnostic imaging reveals a mass without mineralization. A surgical biopsy is obtained.

Based on the image shown, what is your diagnosis?