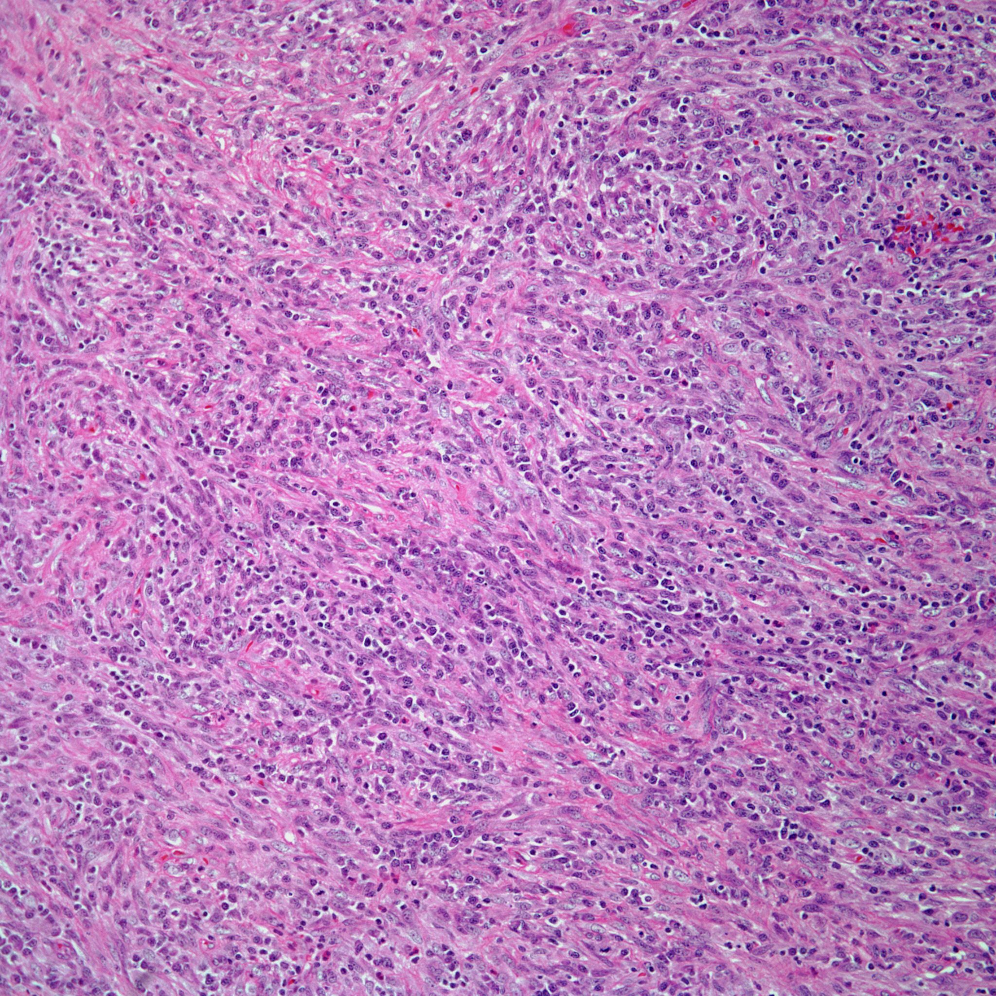
A 34-year-old man presents with pain in the right side of the neck, and a lymph node biopsy is performed. What is your diagnosis?
A 34-year-old man presents with pain in the right side of the neck. The patient complains of fatigue, low-grade fever, and general malaise. At examination, a cervical lymphadenopathy is detected. A lymph node biopsy is performed.

Based on the image shown, what is your diagnosis?