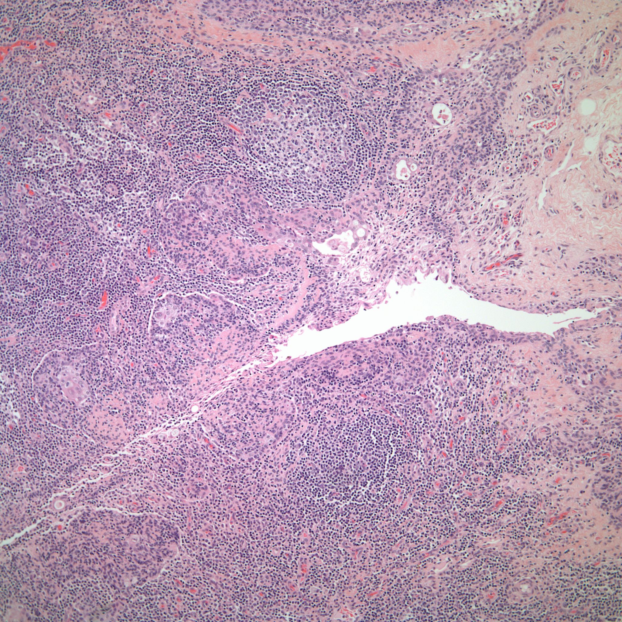
A 35-year-old woman presents with symptoms of dyspnea. Chest films detects the presence of an anterior mediastinal cystic mass. What is your diagnosis?
A 35-year-old woman presents with symptoms of dyspnea. Chest films detects the presence of an anterior mediastinal cystic mass.

Based on the image shown, what is your diagnosis?