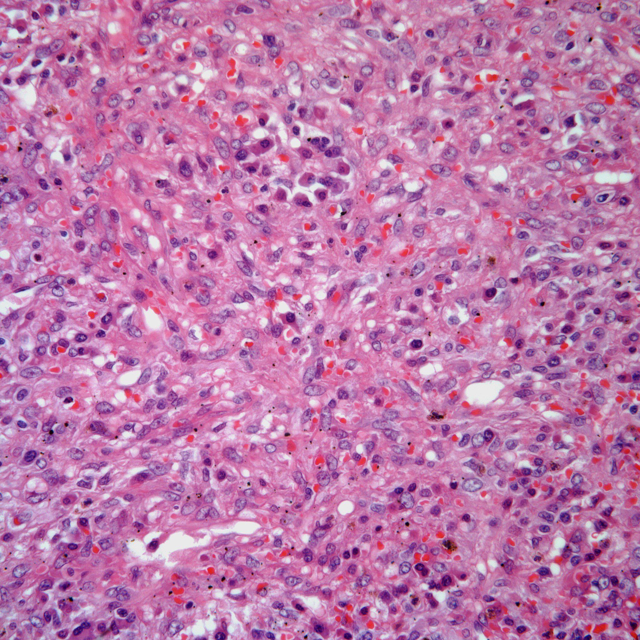
A 38-year-old man presents with abdominal pain and general malaise. What is your diagnosis?
A 38-year-old man presents with abdominal pain and general malaise. He has no previous history of any particular disease, but recently lost some weight and feels tired. At the physical exam there is some lymphadenopathy and the spleen is enlarged. A splenectomy is performed.

Based on the image shown, what is your diagnosis?