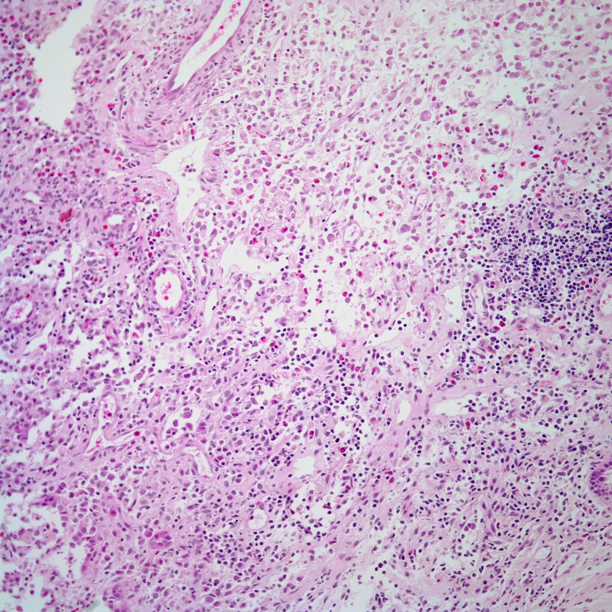
A 38-year-old woman with a history of tobacco use presents with shortness of breath, cough, chest pain, and general malaise. What is your diagnosis?
A 38-year-old woman with a history of tobacco use presents with symptoms of shortness of breath, cough, some chest pain, and general malaise. Diagnostic imaging reveals the presence of bilateral multiple pulmonary nodules. The patient denies a known history of any tumor. A surgical biopsy is obtained.

Based on the image shown, what is your diagnosis?