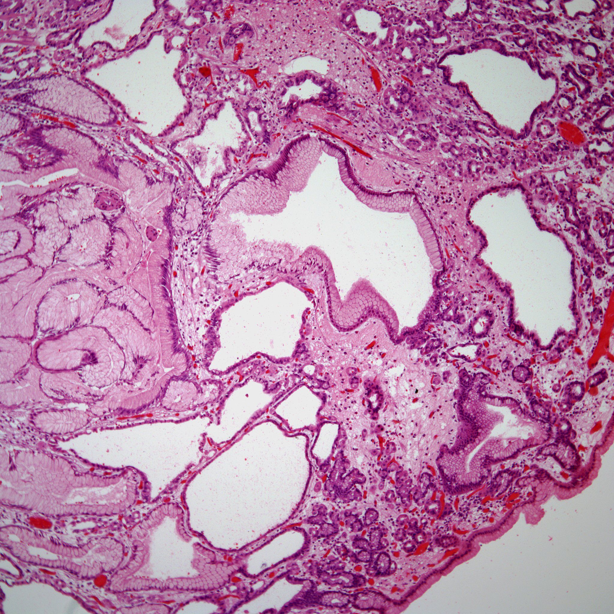
A man presents with a history of gastroesophageal reflux. Endoscopic evaluation shows a nodule in the stomach. What is your diagnosis?
A 40-year-old man presents with a history of gastroesophageal reflux. Endoscopic evaluation shows a nodule in the stomach.

Based on the image shown, what is your diagnosis?