A 40-year-old woman noted a large mass in her right breast. A diagnostic mammogram and ultrasound confirmed a 3.4-cm mass with associated microcalcifications.
Oncology (Williston Park). 30(7):628-631, 652.

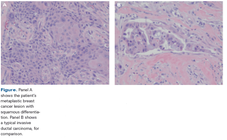
Figure

A 40-year-old woman noted a large mass in her right breast. A diagnostic mammogram and ultrasound confirmed a 3.4-cm mass with associated microcalcifications. Axillary ultrasound showed a prominent lymph node in the right axilla. A core needle biopsy of the breast mass was positive for a high-grade metaplastic carcinoma with predominantly squamous features (Figure, panel A). The lymph node biopsy was negative for metastatic carcinoma. The tumor was triple-negative (estrogen receptor [ER]−, progesterone receptor [PR]−, and human epidermal growth factor receptor 2 [HER2] −), with a Ki-67 proliferation index of 70%.
Magnetic resonance imaging of the patient’s right breast revealed a 3.5-cm oval mass with irregular margins and heterogeneous enhancement consistent with the known primary. No other concerns were identified.
The patient began neoadjuvant chemotherapy, with the planned regimen to consist of dose-dense doxorubicin and cyclophosphamide (AC) followed by dose-dense paclitaxel. After she had received 4 cycles of AC, the mass was softer but its size was relatively unchanged. She completed a subsequent 2 cycles of dose-dense paclitaxel and experienced significant toxicity compared with the AC regimen. The right breast mass appeared to be increasing in size by clinical breast examination. The decision was made to discontinue neoadjuvant chemotherapy and proceed with surgery. The patient underwent bilateral nipple-sparing mastectomies with immediate reconstruction by placement of tissue expanders. The right breast showed a 4.8-cm high-grade metaplastic carcinoma with squamous differentiation and lymphovascular invasion; there was no associated ductal carcinoma in situ disease. No treatment response was identified. One sentinel lymph node was removed, with negative results.
A. Radiation is recommended to the chest wall and to the supraclavicular and regional lymph nodes because of the high rate of local-regional recurrence in breast cancers approaching 5 cm.
B. Radiation is not recommended because patients with breast cancers < 5 cm and negative lymph nodes derive no clear benefit from post-mastectomy radiation.
C. Concurrent chemoradiation with weekly cisplatin is recommended to optimize local tumor control and improve survival of patients presenting with high-grade metaplastic carcinoma with squamous features and triple-negative histology.
D. Adjuvant treatment with liposomal doxorubicin, bevacizumab, and temsirolimus should be offered since this regimen is the standard of care for metaplastic breast cancer that is resistant to treatment with AC plus a taxane.
Radiation therapy plays a key role in adjuvant treatment of breast cancer after lumpectomy. Following mastectomy, radiation therapy is beneficial for patients with involved lymph nodes; the role of radiation therapy after mastectomy in node-negative but high-risk cancers is less clear.[1] The tumor size of this patient was clinically smaller (3.4 cm) at baseline, and due to progression on therapy it had a pathologic size of 4.8 cm post neoadjuvant treatment. Despite the tumor progression on therapy, the patient’s lymph nodes remained pathologically negative.
Tseng and Martinez published an analysis in the Annals of Surgical Oncology on the impact of radiotherapy on overall survival (OS) and disease-specific survival (DSS) in a retrospective review of patients with metaplastic breast cancer from the Surveillance, Epidemiology, and End Results database.[2] In a subanalysis of post-mastectomy patients with high-risk features (defined as having a tumor size greater than 5 cm or 4 positive lymph nodes), a significant DSS and OS benefit was observed with use of post-mastectomy radiotherapy. No benefit of radiotherapy was demonstrated in the normal-risk patients (tumors < 5 cm or < 4 positive lymph nodes). Therefore, given the available data and lack of prospective studies, together with the clinical characteristics and pathology results of our patient, Answer A is incorrect, and Answer B is correct-and she did not receive adjuvant radiotherapy.
No reported clinical trials have shown significant benefit to concurrent chemoradiation in the treatment of breast cancer.[3] Thus, Answer C is not correct.
What about chemotherapy? We know this patient has a high risk of recurrence based on the high-degree residual disease seen after neoadjuvant therapy and on the triple-negative status of her tumor. The added contribution of the metaplastic subtype is harder to sort out in this case. Metaplastic breast cancers represent less than 1% of all breast malignancies. The majority of our knowledge is derived from retrospective series and clinical experience, and no randomized clinical trials exist specifically for this rare tumor type. Overall, patients with metaplastic breast cancer have a poorer prognosis than those with invasive ductal carcinoma (IDC); however, as our understanding of breast cancer biologic subtypes has matured, so has our ability to refine our interpretation of clinical results in the setting of metaplastic breast cancer.
In one larger retrospective series,[4] patients with metaplastic breast cancer presented with larger tumor size, less frequent lymph node involvement, tumors with higher histologic and nuclear grades, and a higher incidence of triple negativity (ER/PR/HER2-negative) compared with those presenting with a large nonselected IDC. During a median follow-up of 30.3 months, twice as many patients with metaplastic disease experienced recurrence (14.9% of the patients with metaplastic breast cancer vs 7.1% of those with IDC). The 3-year disease-free survival (DFS) rates were 78.1% and 91.1%, respectively (P < .001). However, when the comparison was restricted to the triple-negative breast cancer subset of the IDC group, the overall 3-year DFS rates were not significantly different (78.1% for patients with metaplastic breast cancer vs 84.9% for the IDC group; P = .114). The exception to this finding was patients with lymph node metastasis who underwent adjuvant chemotherapy, in whom the 3-year DFS rate was 44.4% in the metaplastic group and 72.5% in the triple-negative IDC group (P = .025), supporting a relative lack of benefit for standard first-line breast cancer chemotherapy in patients with metaplastic breast cancer.[4]
Another larger series confirmed the same higher-risk features at presentation for patients with metaplastic breast cancer.[5] However, in comparing disease-free and overall survival, patients with metaplastic cancer fared worse than those with triple-negative IDC. Multivariable analysis of DFS revealed metaplastic subtype as an independent prognostic factor (hazard ratio [HR], 2.53 [95% CI, 1.32–4.84]), along with lymph node metastasis and implementation of breast-conserving surgery. In terms of overall survival, metaplastic subtype remained a significant prognostic factor (HR, 2.56 [95% CI, 1.18–5.54]). The chemoresponsiveness of patients with metaplastic breast cancer and triple-negative IDC was similar in both the neoadjuvant and advanced disease settings. Within the metaplastic subset, risk factors for disease recurrence included the presence of a squamous component (HR, 4.0 [95% CI, 1.46–10.99]), which this patient had, and lymph node metastasis (HR, 4.76 [95% CI, 1.67–13.60]), which was absent in this patient.[5]
It would be reasonable to consider a platinum agent for subsequent adjuvant therapy in this triple-negative cancer with squamous features and no response to neoadjuvant therapy, given the expected poor prognosis in this circumstance. At present, the true benefit from this approach is estimated, without data from clinical trials; further, the benefit must be inferred from studies that are not specific to metaplastic breast cancer and in which platinum was added to neoadjuvant regimens. In metaplastic breast carcinoma specifically, Takuwa et al reported the case of a patient achieving a near pathologic complete response with neoadjuvant chemotherapy consisting of 4 cycles of docetaxel and cisplatin followed by 4 cycles of cyclophosphamide, doxorubicin, and cisplatin.[6] Treatment using carboplatin with a taxane has shown effectiveness in the neoadjuvant setting, and there are several studies of this regimen in the metastatic setting; however, these results are not significant enough to establish a standard of care for patients with metaplastic breast cancer. Thus, there is an unmet need to find more effective therapeutic regimens for the metaplastic subset of breast cancer patients.
A phase I clinical trial reported activity in metaplastic breast cancer with a regimen of liposomal doxorubicin, bevacizumab, and temsirolimus. Moulder et al treated five patients with this combination and one achieved a durable complete response.[7] Given the lack of response overall to standard breast cancer therapy and the poor prognosis of patients with metaplastic breast cancer, the findings are encouraging-but this regimen is not a standard of care. Therefore, Answer D is incorrect. Ideally a clinical trial-albeit a challenge given this rare tumor-would be the best option for this patient.
Unfortunately, the patient developed a rapidly recurring chest wall tumor within weeks of surgery while undergoing fills to her expanders. Platinum-based adjuvant chemotherapy had been discussed but the patient had opted to decline. The recurrence was biopsied and confirmed to be similar to the primary. Given the patient’s lack of response to neoadjuvant chemotherapy, we performed genomic profiling on the metastasis with next-generation sequencing using a clinically available assay. Our hope in doing this was to identify potential targets to guide first-line metastatic therapy and/or appropriate clinical trial options. Our plan was to enroll her in a clinical trial based upon the tumor biomarker profile, such as the NCI-MATCH trial.[8]
Staging scans showed a large breast mass, skin thickening, enlarged right axillary lymph nodes, and multiple bilateral pulmonary nodules. Rapidly progressive disease warranted starting systemic therapy right away, so we initiated treatment with gemcitabine and carboplatin while awaiting the genomic results. Unfortunately, despite the squamous features and highly aggressive nature of the tumor, a limited number of mutations were found, namely mutations of genes in the mammalian target of rapamycin pathway and a p53 mutation. After 2 cycles of the carboplatin and gemcitabine, the patient experienced disease progression. We are screening her for clinical trials of second-line therapy for metastatic disease,[9] including immunotherapy clinical trial options.
Zhang et al concluded that metaplastic breast cancers are insensitive to neoadjuvant chemotherapy, routine chemotherapy, and radiation therapy. Their study of 90 cases of metaplastic breast cancer from Tianjin Medical University Cancer Hospital in China indicated that metaplastic breast cancer is an aggressive type of breast cancer with a poor prognosis, and new effective therapies are needed.[10] The regimen of liposomal doxorubicin, bevacizumab, and temsirolimus mentioned previously is a potential therapeutic option, given the encouraging phase I results.
Additional clinical trials are needed to help further characterize and improve understanding of the biology of metaplastic breast cancer, with the hope of finding better treatments for this challenging disease. To date, the relative rarity of the metaplastic subtype has precluded prospective clinical trials. Large-scale consortia guided by genomic data and driven by biomarkers are forming in the United States and worldwide. They offer the potential to change our ability to perform meaningful research on rare tumor subsets and/or identify the genomic drivers of these cancers, enabling treatment with otherwise nonstandard breast cancer drugs or novel drugs. The Oncology Research Information Exchange Network ([ORIEN]; www.oriencancer.org), which the University of Colorado Cancer Center joined in 2015, is one such consortium. Currently, there are 11 nationally recognized cancer centers in this network, and an effort to accrue patients with triple-negative breast cancer and metastatic breast cancer is ongoing.
The patient discussed in this case report has opted to sign her consent to participate in the trial. Her participation may or may not offer her real-time treatment options, but it does offer, at minimum, the ability to enhance our translational research capabilities and perhaps the promise of discovery of more effective metaplastic breast cancer therapy in the future. Indeed, the chance to improve outcomes for future patients with metaplastic breast cancer was a strong motivating factor in our patient’s decision to enroll in a clinical trial. It is important for oncologists to recognize that our patients, and their willingness to be our collaborators, are our most effective weapon in the fight against breast cancer.
Financial Disclosure:The authors have no significant financial interest in or other relationship with the manufacturer of any product or provider of any service mentioned in this article.
E. David Crawford, MD, serves as Series Editor for Clinical Quandaries. Dr. Crawford is Professor of Surgery, Urology, and Radiation Oncology, and Head of the Section of Urologic Oncology at the University of Colorado School of Medicine; Chairman of the Prostate Conditions Education Council; and a member of ONCOLOGY's Editorial Board.
If you have a case that you feel has particular educational value, illustrating important points in diagnosis or treatment, you may send the concept to Dr. Crawford at david.crawford@ucdenver.edu for consideration for a future installment of Clinical Quandaries.
1. Early Breast Cancer Trialists’ Collaborative Group (EBCTCG). Effects of radiotherapy and of differences in the extent of surgery for early breast cancer on local recurrence and 15-year survival: an overview of the randomized trials. Lancet. 2005;366:2087-106.
2. Tseng WH, Martinez SR. Metaplastic breast cancer: to radiate or not to radiate? Ann Surg Oncol. 2011;18:94-103.
3. Burstein HJ, Bellon JR, Galper S, et al. Prospective evaluation of concurrent paclitaxel and radiation therapy after adjuvant doxorubicin and cyclophosphamide chemotherapy for stage II or III breast cancer. Int J Radiat Oncol Biol Phys. 2006;64:496-504.
4. Bae SY, Lee SK, Koo MY, et al. The prognoses of metaplastic breast cancer patients compared to those of triple-negative breast cancer patients. Breast Cancer Res Treat. 2011;126:471-8.
5. Lee H, Jung SY, Ro JY, et al. Metaplastic breast cancer: clinicopathological features and its prognosis. J Clin Pathol. 2012;65:441-6.
6. Takuwa H, Ueno T, Ishiguro H, et al. A case of metaplastic breast cancer that showed a good response to platinum-based preoperative chemotherapy. Breast Cancer. 2014;21:504-7.
7. Moulder S, Moroney J, Helgason T, et al. Responses to liposomal doxorubicin, bevacizumab, and temsirolimus in metaplastic carcinoma of the breast: biologic rationale and implications for stem-cell research in breast cancer. J Clin Oncol. 2011;29:e572-e575.
8. Mullard A. NCI-MATCH trial pushes cancer umbrella trial paradigm. Nat Rev Drug Discov. 2015;14:513-5.
9. Meric-Bernstam F, Johnson A, Holla V, et al. A decision support framework for genomically informed investigational cancer therapy. J Natl Cancer Inst. 2015;107:djv098.
10. Zhang Y, Lv F, Yang Y, et al. Clinicopathological features and prognosis of metaplastic breast carcinoma: experience of a major Chinese cancer center. PLoS One. 2015;10:e0131409.
Gedatolisib Combo With/Without Palbociclib May Be New SOC in PIK3CA Wild-Type Breast Cancer
December 21st 2025“VIKTORIA-1 is the first study to demonstrate a statistically significant and clinically meaningful improvement in PFS with PAM inhibition in patients with PIK3CA wild-type disease, all of whom received prior CDK4/6 inhibition,” said Barbara Pistilli, MD.