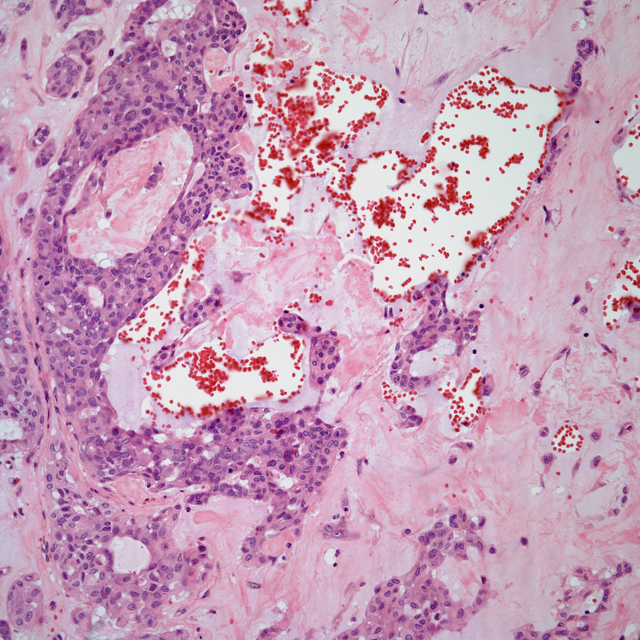
A 41-year-old woman presents with a palpable mass in her left breast. A lumpectomy is performed. What is your diagnosis?
A 41-year-old woman presents with a palpable mass in her left breast. A lumpectomy is performed.

Based on the image shown, what is your diagnosis?