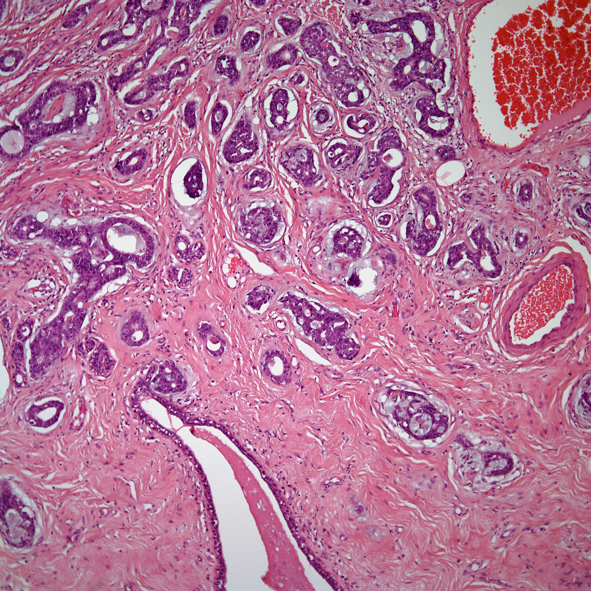
A 42-year-old woman presents with a nodule in the right breast. What is your diagnosis?
A 42-year-old woman presents with a nodule in the right breast. She states that she noted the nodule a couple of weeks ago and prior to that she was in good health. Imaging detects a breast lesion of approximately 2 cm. A lumpectomy is performed.

Based on the image shown, what is your diagnosis?