A 42-year-old woman presents with uterine bleeding. After further evaluation, a biopsy is performed. What is your diagnosis?
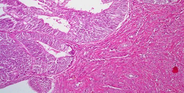
A 42-year-old woman presents with uterine bleeding. After further evaluation, a biopsy is performed. According to the histopathology image below, what is your diagnosis?
.JPG?fit=crop&auto=format)
What is your diagnosis?