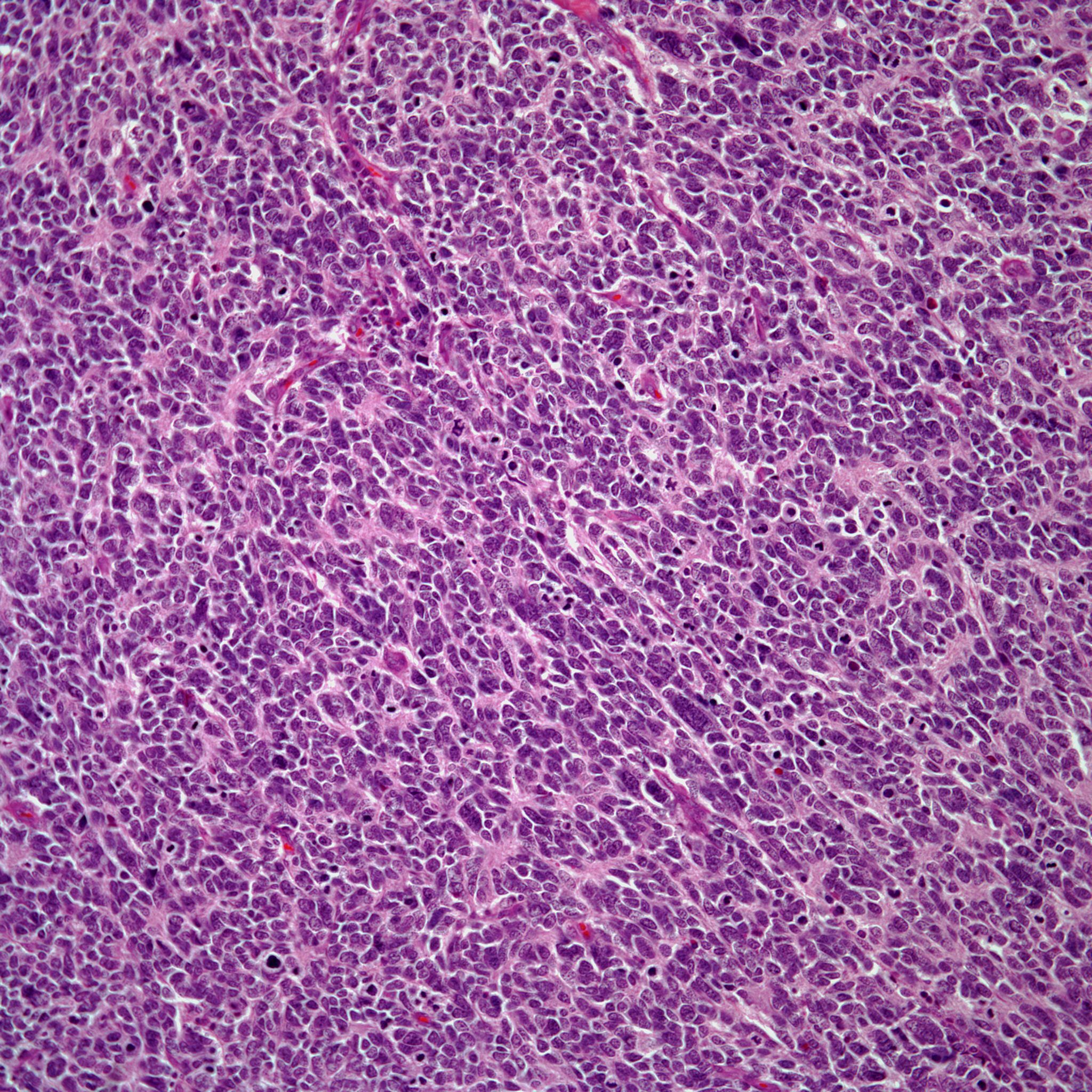
A 43-year-old man presents with a soft tissue mass in the right leg. A biopsy is obtained. What is your diagnosis?
A 43-year-old man presents with a soft tissue mass in the right leg. A biopsy is obtained.

Based on the image shown, what is your diagnosis?