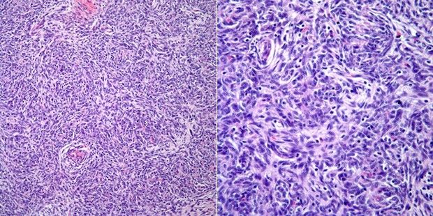
During a routine physical examination a 43-year-old man is found to have an anterior mediastinal mass on chest radiographic studies. The patient is otherwise healthy and does not have any history of any tumor elsewhere. Resection of the tumor was performed.

What is your diagnosis?