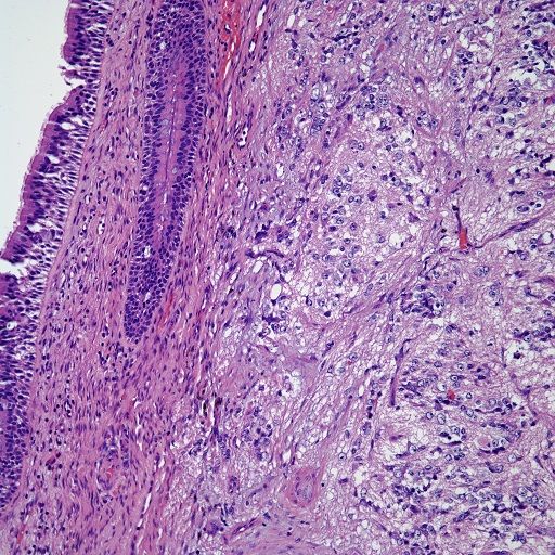
A 43-year-old man presents with nasal bleeding and obstruction. An intranasal mass is found and a biopsy is taken. What is your diagnosis?
A 43-year-old man presents with nasal bleeding and obstruction. An intranasal mass is found and a biopsy is taken.

Based on the image shown, what is your diagnosis?