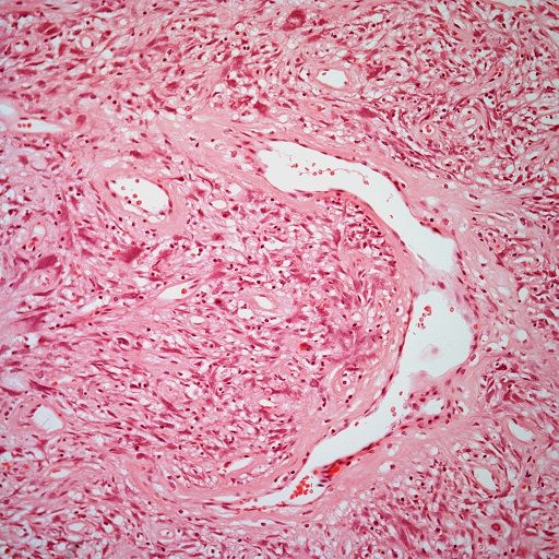
A 43-year-old man presents with a subcutaneous tumoral lesion in his right leg. Surgical resection of the tumor was performed. What is your diagnosis?
A 43-year-old man presents with a subcutaneous tumoral lesion in his right leg. Surgical resection of the tumor was performed.

Based on the image shown, what is your diagnosis?