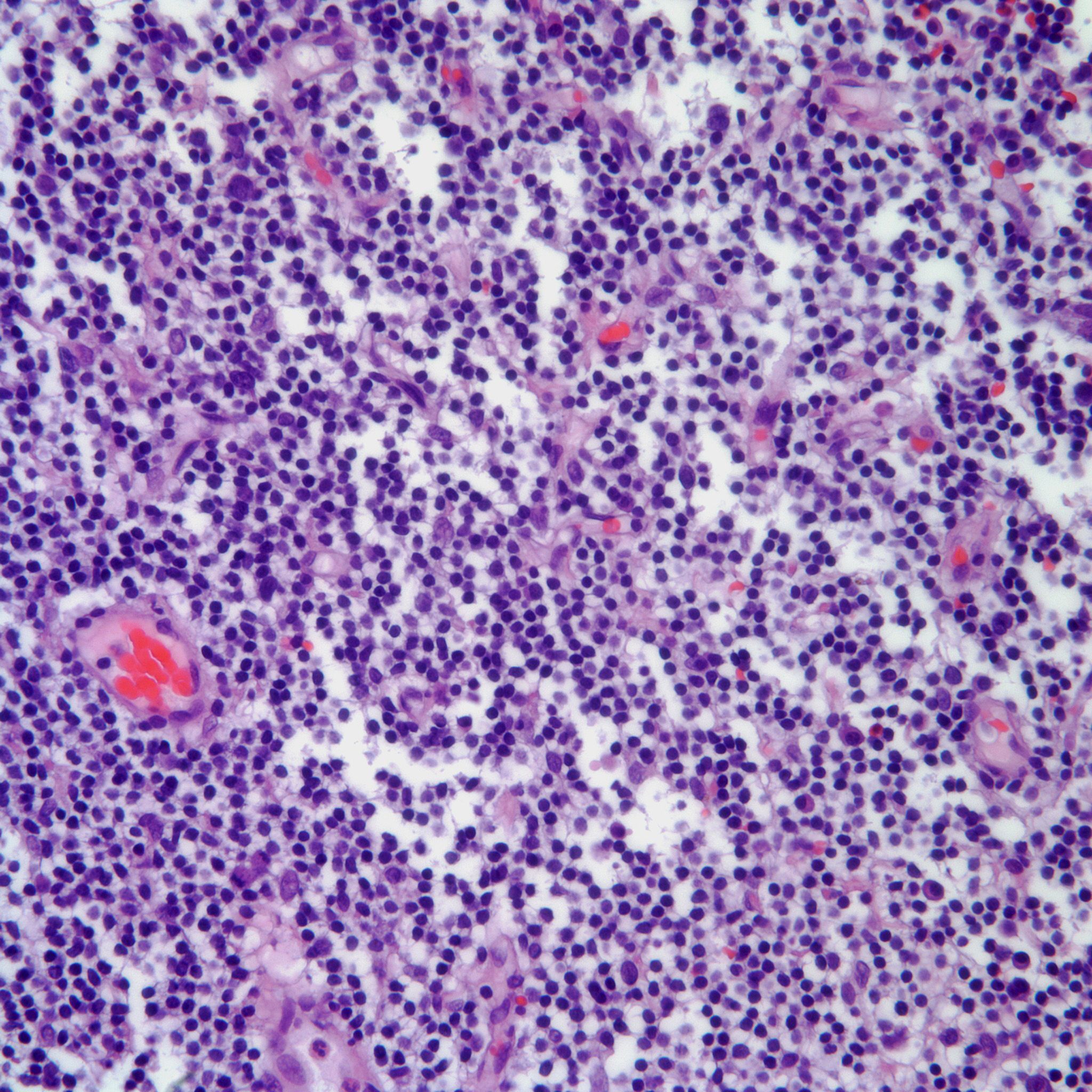
A 43-year-old woman with history of Sjogren syndrome presents with dyspnea and chest pain. What is your diagnosis?
A 43-year-old woman with history of Sjogren syndrome presents with dyspnea and chest pain that she's had for a few weeks. Diagnostic imaging reveals the presence of a large anterior mediastinal mass that is described as solid and cystic. An initial biopsy is read as non-diagnostic. Surgical resection of the mass is performed.

Based on the image shown, what is your diagnosis?