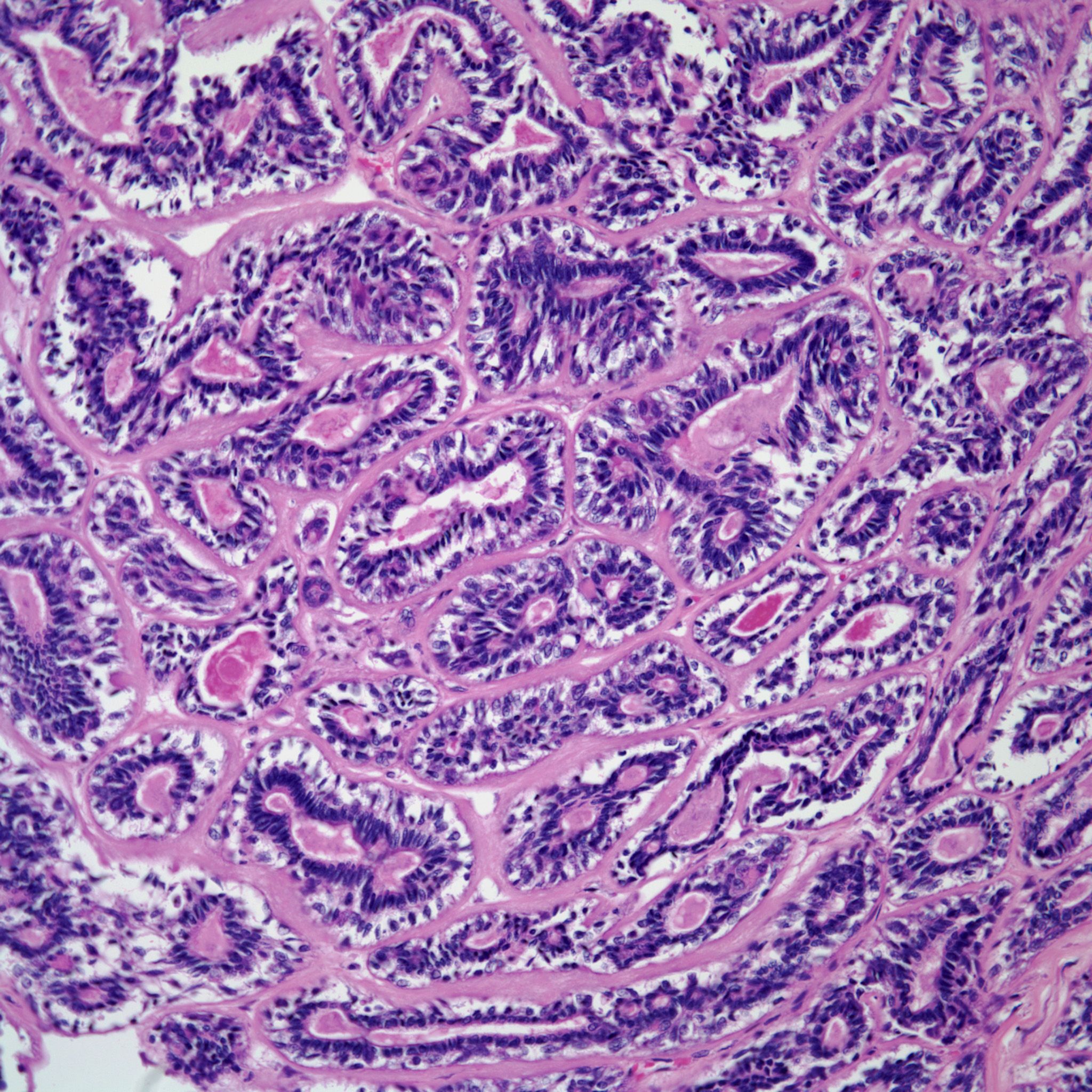
A 43-year-old woman presents with symptoms of dyspnea, wheezing, and shortness of breath. Diagnostic imaging reveals a tumor mass partially obstructing the bronchus of the left lung. What is your diagnosis?
A 43-year-old woman presents with symptoms of dyspnea, wheezing, and shortness of breath. Diagnostic imaging reveals a tumor mass partially obstructing the bronchus of the left lung. The patient does not have any other pertinent history and states that she has been well until now. Surgical resection of the left lower lobe is performed. Grossly, the tumor measures approximately 2.5 cm in greatest dimension, is described as light tan to brown, well-circumscribed, but not encapsulate. Areas of necrosis and/or hemorrhage were not present.

Based on the image shown, what is your diagnosis?