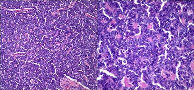
A 43-year-old woman presented with symptoms of abdominal pain and uterine bleeding. At physical examination, a palpable mass was present in the right lower abdominal quadrant. During surgical intervention a mass in the right ovary was identified. Surgical resection of the mass was performed.

What is your diagnosis?