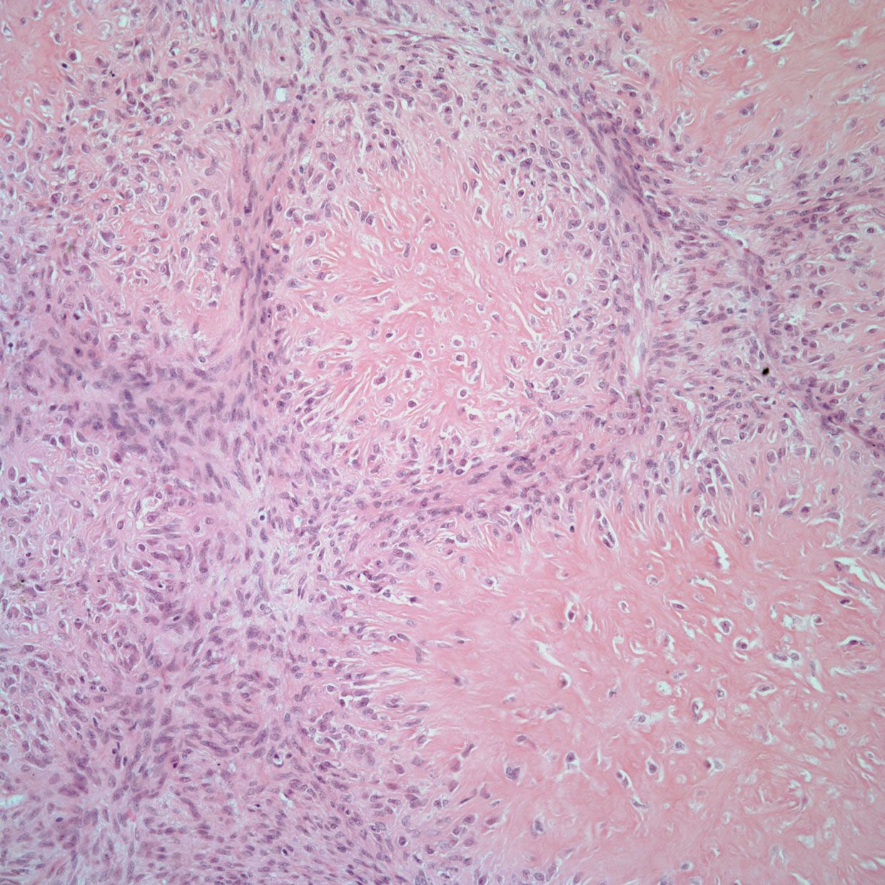
A 44-year-old man presents with a lesion on his right upper back, and a biopsy is performed. What is your diagnosis?
A 44-year-old man presents with a lesion on his right upper back, and a biopsy is performed.

Based on the image shown, what is your diagnosis?