A 44-year-old woman presents with a mass in the right side of the neck. The patient complains of general malaise and a cough. What is your diagnosis?
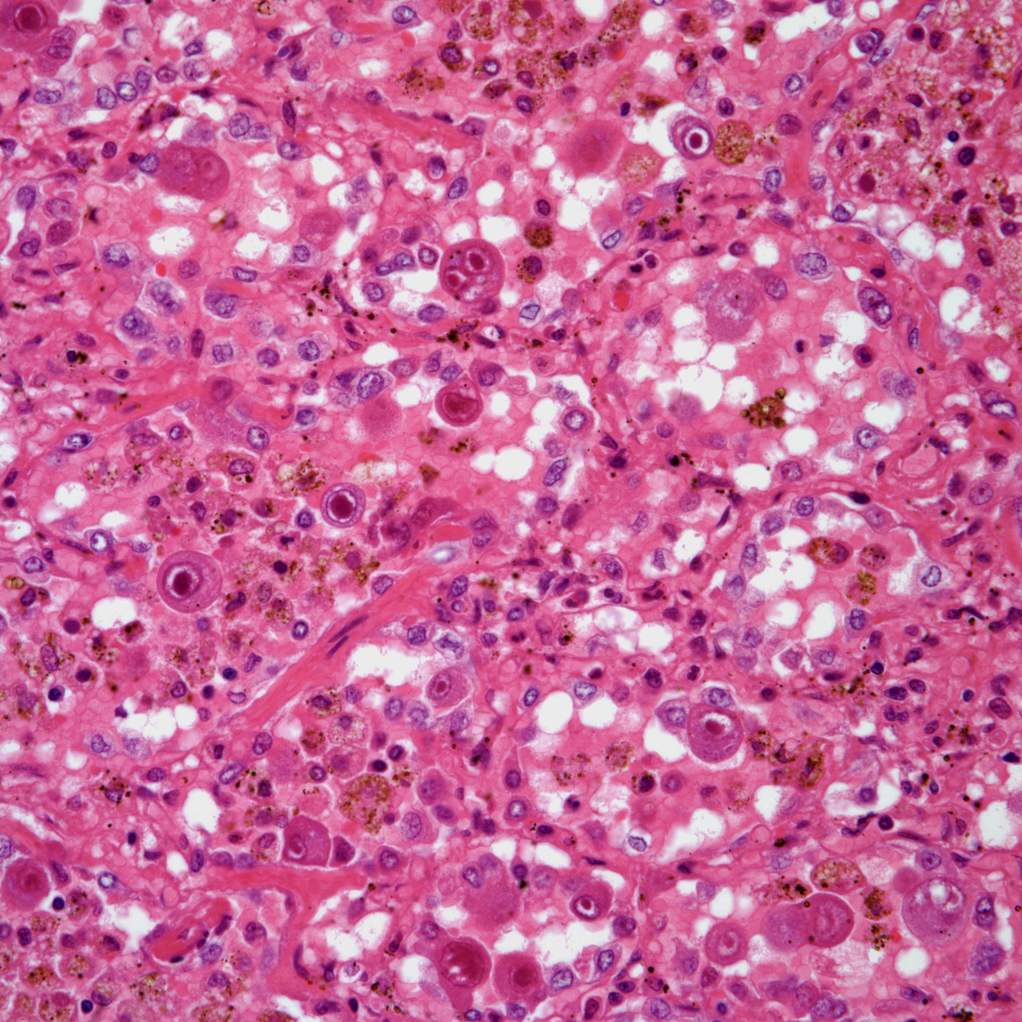
A 44-year-old woman presents with a mass in the right side of the neck. In addition, the patient complains of general malaise, cough, and shortness of breath. Laboratory results show the presence of elevated serum level of calcium. Surgical resection of the mass is performed.

Based on the image shown, what is your diagnosis?