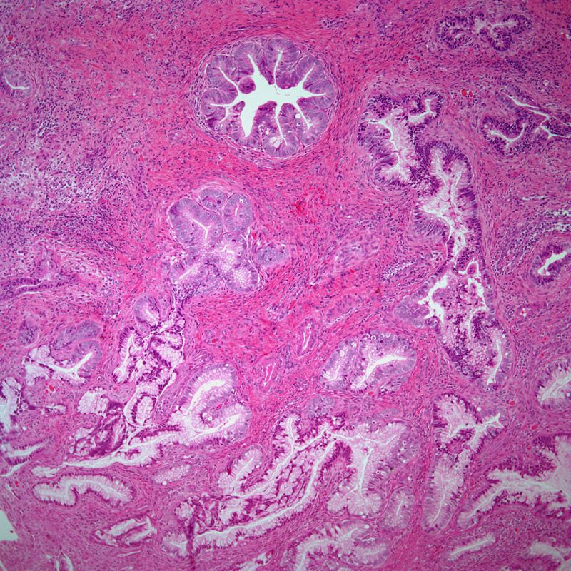
A 44-year-old woman presents with vaginal bleeding, and an endocervical biopsy is obtained. What is your diagnosis?
A 44-year-old woman presents with vaginal bleeding, and an endocervical biopsy is obtained.

Based on the image shown, what is your diagnosis?