A 45-year-old female presents with gross hematuria 5 days after a laparoscopic partial nephrectomy for renal cell cancer. What is your diagnosis?
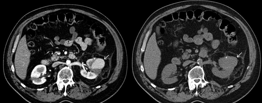
A 45-year-old female presents with gross hematuria 5 days after a laparoscopic partial nephrectomy for renal cell cancer. Images from an abdomen CT scan performed without and with IV contrast are shown, with salient abnormality indicated with an arrow. Based on the images and history, what is the diagnosis?

Based on the images shown, what is the most likely diagnosis?