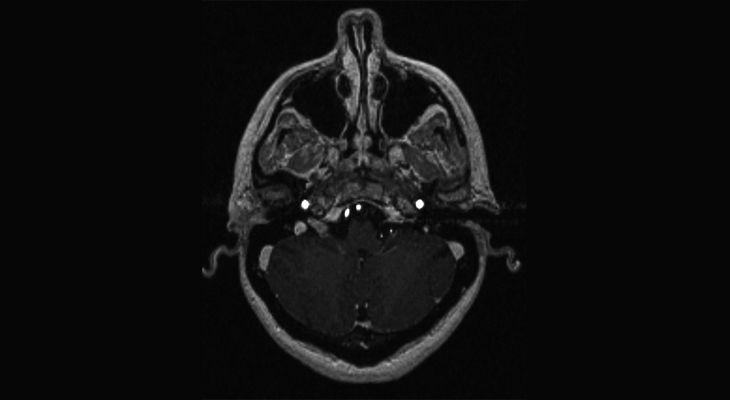
A healthy 45-year-old woman undergoes an MRI for persistent headaches. The headaches resolve with conservative management. However, there is an incidental finding on the MRI of a homogeneously enhancing mass in the right jugular foramen.

What is your diagnosis?