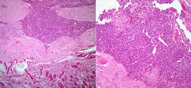
A 45-year-old woman presented with severe back pain. After radiological and physical examination, the patient was found to have nephrolithiasis with marked hypercalcemia. In addition, a palpable mass in the right side of the neck was encountered. Surgical resection of the mass was performed.

What is the most likely diagnosis?