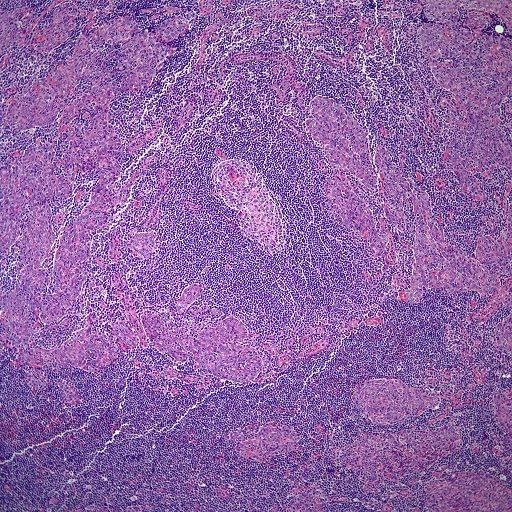
A 48-year-old man presents with dyspnea and cough. Imaging shows an anterior mediastinal mass, and resection of the mass is performed. What is your diagnosis?
A 48-year-old man presents with dyspnea and cough. Imaging shows an anterior mediastinal mass, and resection of the mass is performed.

Based on the image shown, what is your diagnosis?