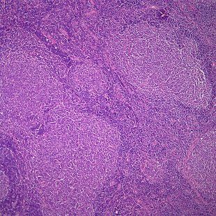
A 48-year-old man presents with diffuse lymphadenopathy. After further evaluation, a biopsy is performed. What is your diagnosis?
According to the histopathology image below, what is your diagnosis? - See more at: http://www.oncotherapynetwork.com/image-iq/40-year-old-woman-presents-several-liver-nodules#sthash.BhY8QKnL.dpuf According to the histopathology image below, what is your diagnosis? - See more at: http://www.oncotherapynetwork.com/image-iq/40-year-old-woman-presents-several-liver-nodules#sthash.BhY8QKnL.dpuf
A 48-year-old man presents with diffuse lymphadenopathy. According to the histopathology image below, what is your diagnosis?

What is your diagnosis?
Navigating AE Management for Cellular Therapy Across Hematologic Cancers
A panel of clinical pharmacists discussed strategies for mitigating toxicities across different multiple myeloma, lymphoma, and leukemia populations.