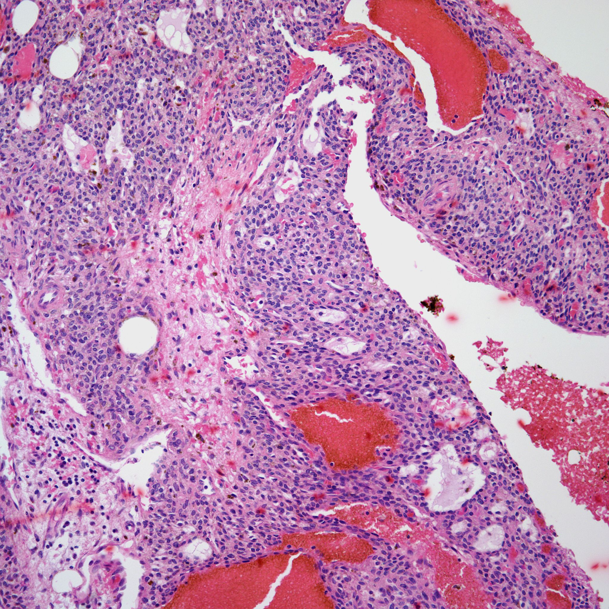
A 48-year-old man presents with a soft tissue tumor in the right side of his chest. The patient has a history of several bone fractures in the past. What is your diagnosis?
A 48-year-old man presents with a soft tissue tumor in the right side of his chest. The patient has a history of several bone fractures in the past. Surgical excision of the mass is performed.

Based on the image shown, what is your diagnosis?