A 51-year-old man noticed abdominal swelling and distention with intermittent abdominal pain, early satiety, and decreased appetite over the past several months. A computed tomography scan of the abdomen is performed. What's your diagnosis?
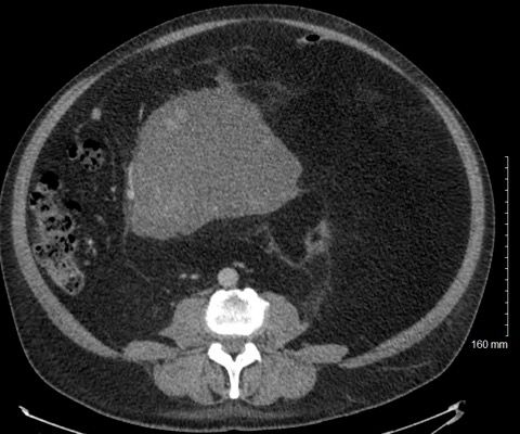
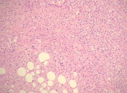
A 51-year-old man noticed abdominal swelling and distention with intermittent abdominal pain, early satiety, and decreased appetite over the past several months. A computed tomography (CT) scan of the abdomen showed massive fat containing omental mass with a dominant solid component in the center (Figure A). After a CT guided biopsy (Figure B), he underwent surgical resection of this large retroperitoneal mass revealing a 33-pound macroscopic tumor (Figure C).



Based on the images shown, what is your diagnosis?
Sarcoma Awareness Month 2023 with Brian Van Tine, MD, PhD
August 1st 2023Brian Van Tine, MD, PhD, speaks about several agents and combination regimens that are currently under investigation in the sarcoma space, and potential next steps in research including immunotherapies and vaccine-based treatments.