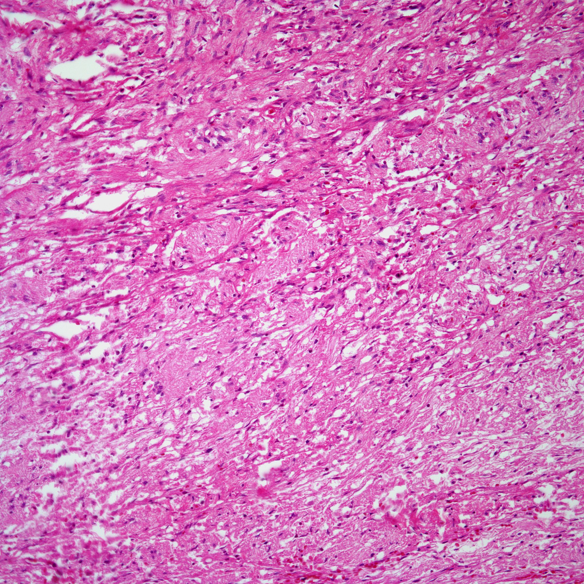
A 52-year-old man presents with dyspnea and chest pain. Imaging shows the presence of a tracheal lesion. What is your diagnosis?
A 52-year-old man presents with dyspnea and chest pain. Imaging shows the presence of a tracheal lesion. A biopsy is obtained.

Based on the image shown, what is your diagnosis?