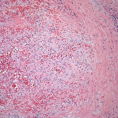
A 52-year-old woman presents with abdominal discomfort, which on physical examination revealed the presence of splenomegaly. A splenectomy is performed. What is your diagnosis?
A 52-year-old woman presents with abdominal discomfort, which on physical examination revealed the presence of splenomegaly. A splenectomy is performed.

Based on the image shown, what is your diagnosis?