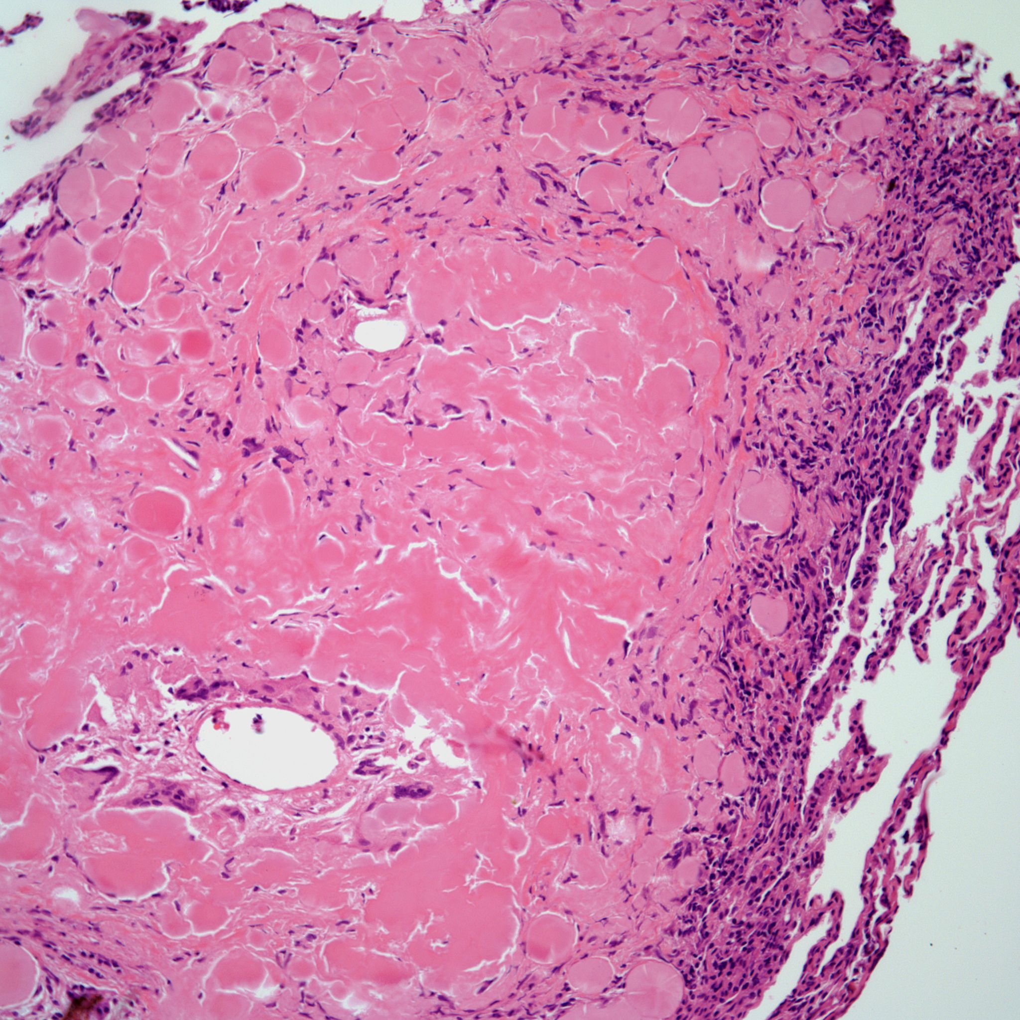
A 53-year-old man comes in with a cough, chest pain, and dyspnea that he’s had for several weeks. Radiographic imaging of the chest reveals a mass lesion in the right lower lobe. What's your diagnosis?
A 53-year-old man comes in with a cough, chest pain, and dyspnea that he’s had for several weeks. Radiographic imaging of the chest reveals a mass lesion in the right lower lobe.

Based on the image shown, what is your diagnosis?