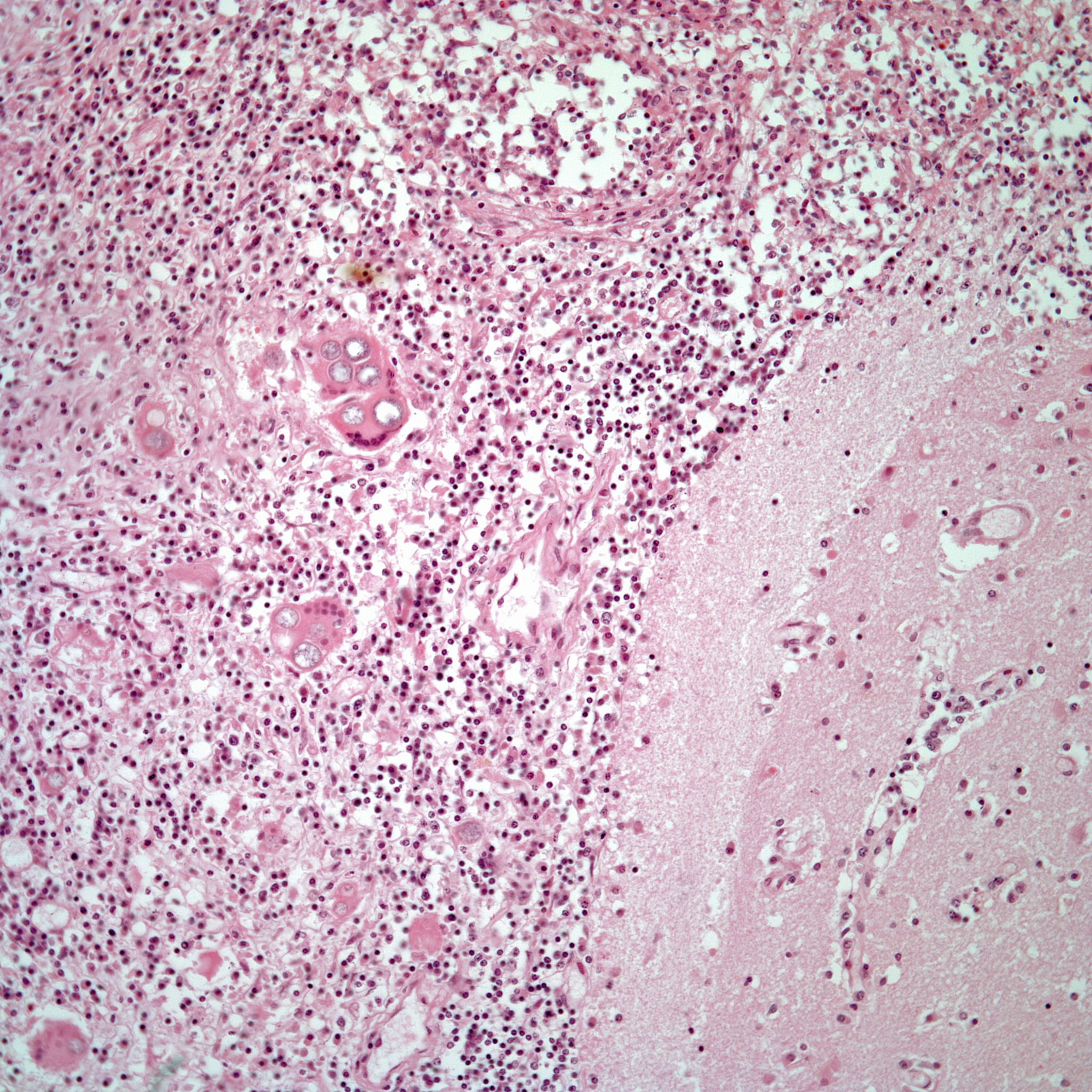
A 53-year-old man presents with a headache and general malaise. Diagnostic imaging identifies a mass in the brain. What is your diagnosis?
A 53-year-old man presents with a headache and general malaise. Diagnostic imaging identifies a mass in the brain.

Based on the image shown, what is your diagnosis?