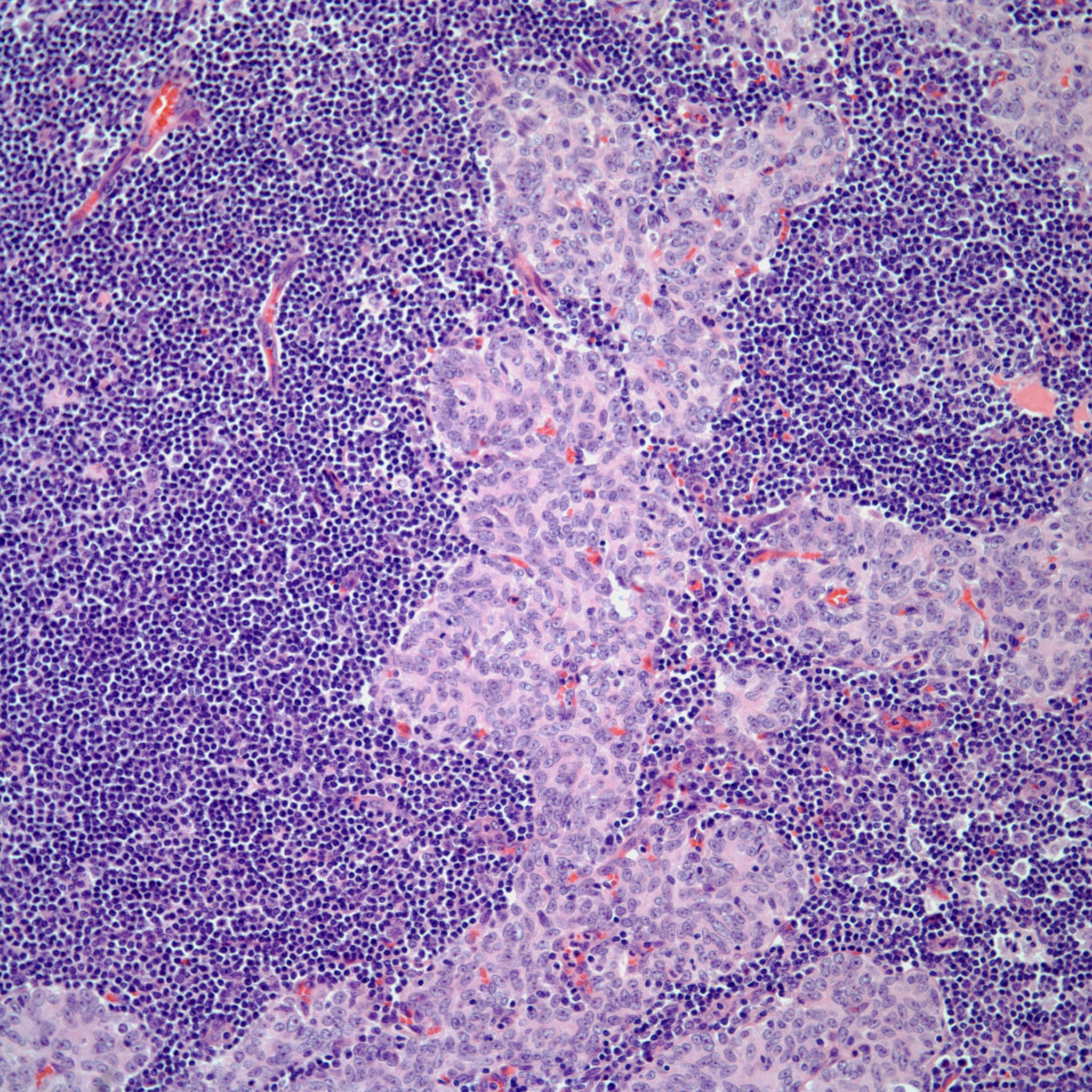
A 54-year-old man presents with chest pain, cough, shortness of breath, and a mediastinal mass. What is your diagnosis?
A 54-year-old man presents with symptoms of chest pain, cough, and shortness of breath. Diagnostic imaging reveals the presence of a mediastinal mass.

Based on the image shown, what is your diagnosis?