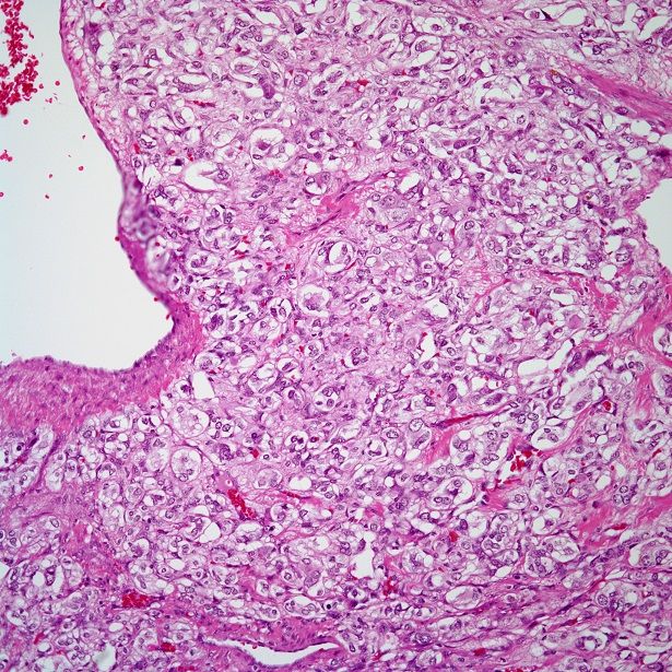
A 54-year-old woman presents with nausea, vomiting, and flushing. Imaging shows a mass in the right adrenal gland. What is your diagnosis?
A 54-year-old woman presents with nausea, vomiting, and flushing. Imaging shows a mass in the right adrenal gland.

Based on the image shown, what is your diagnosis?