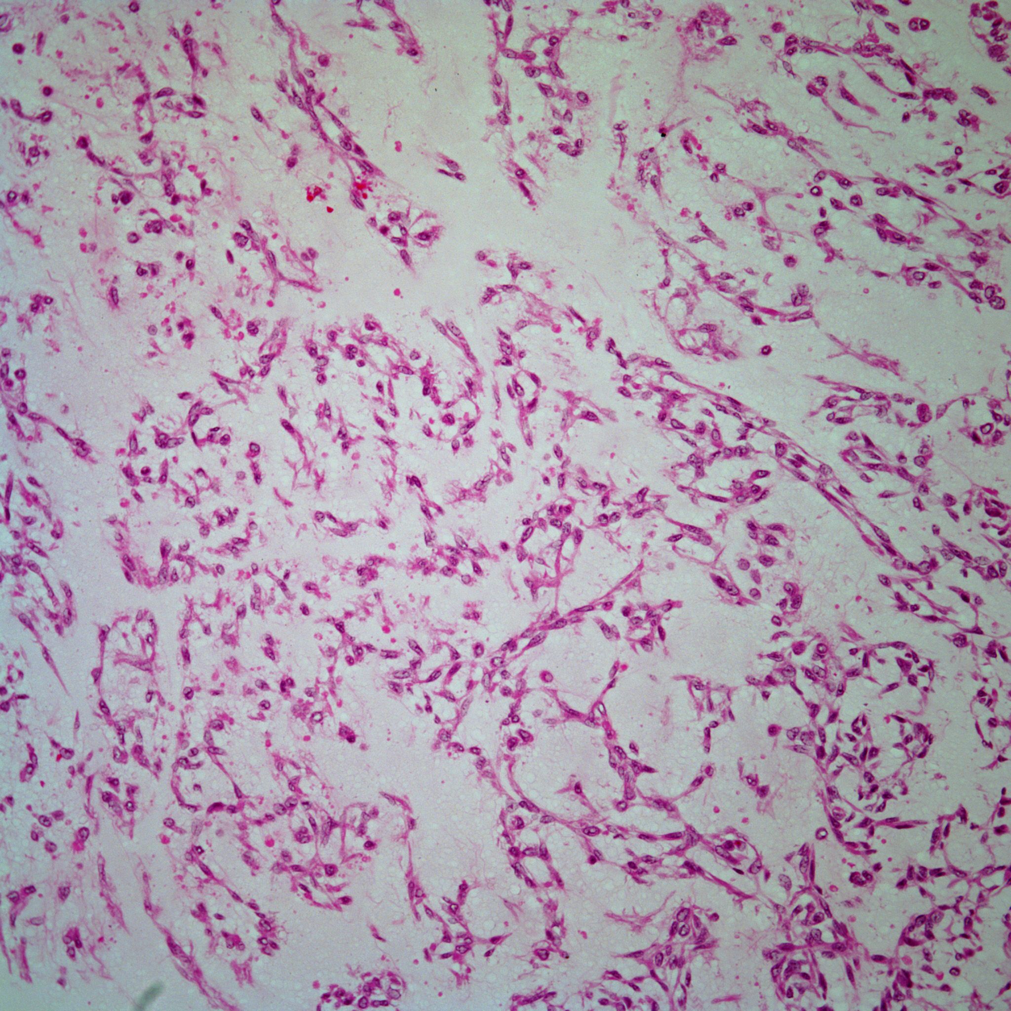
A 56-year-old man presents with a subcutaneous soft tissue mass in the right leg. The patient does not have any other pertinent clinical history. What is your diagnosis?
A 56-year-old man presents with a subcutaneous soft tissue mass in the right leg. The patient does not have any other pertinent clinical history, and he states that he has seen the mass growing over the last few months, but it is painless. Diagnostic imaging detects a mass in the soft tissue without any bone involvement. Surgical resection of the mass is performed. The resected tumor measures approximately 6 cm in diameter; it appears to be lobulated and well circumscribed.
.jpg?fit=crop&auto=format)
Based on the image shown, what is your diagnosis?