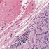
A 58-year-old male presents with chief complaints of bloating, vague abdominal pain, and dark black stools. He is referred to a gastroenterologist who recommends upper and lower endoscopy. Subsequently a mass of about 1112 mm is removed from the stomach.
Review first the H&E stained image above or click here to see the whole slide image.
Click here for the comparative pathology.

The most likely diagnosis is: