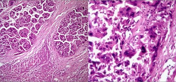
A 58-year-old man presented with symptoms of abdominal pain of several weeks duration. At physical evaluation, jaundice and ascites were present. In addition, a palpable mass was identified in the right upper quadrant. Surgical resection was performed.

What is your diagnosis?