A 67-year-old man presents with hematuria and a kidney mass found on imaging. After further evaluation, a biopsy is performed. What is your diagnosis?
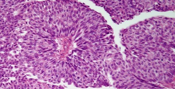
A 67-year-old man presents with hematuria and a kidney mass found on imaging. According to the histopathology image below, what is your diagnosis?

What is your diagnosis?