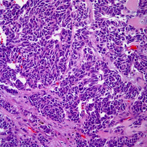
A 78-year-old man presents with a cough and history of weight loss of several weeks' duration. Chest imaging reveals the presence of an intrapulmonary mass. What is your diagnosis?
A 78-year-old man presents with a cough and history of weight loss of several weeks' duration. Chest imaging reveals the presence of an intrapulmonary mass.

What is your diagnosis?