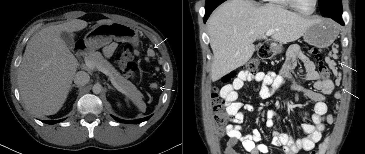
A 25-year-old man with abdominal discomfort undergoes CT imaging to determine its cause. What is your diagnosis?
A 25-year-old man presents with complaints of generalized fatigue and abdominal discomfort. The patient was diagnosed with Epstein-Barr virus infection, and CT was performed for the abdominal discomfort. The patient has a remote history of a motor vehicle collision, which required abdominal surgery. Axial and coronal images from the CT scan are shown below (areas of interest denoted with arrows).

What is your diagnosis?