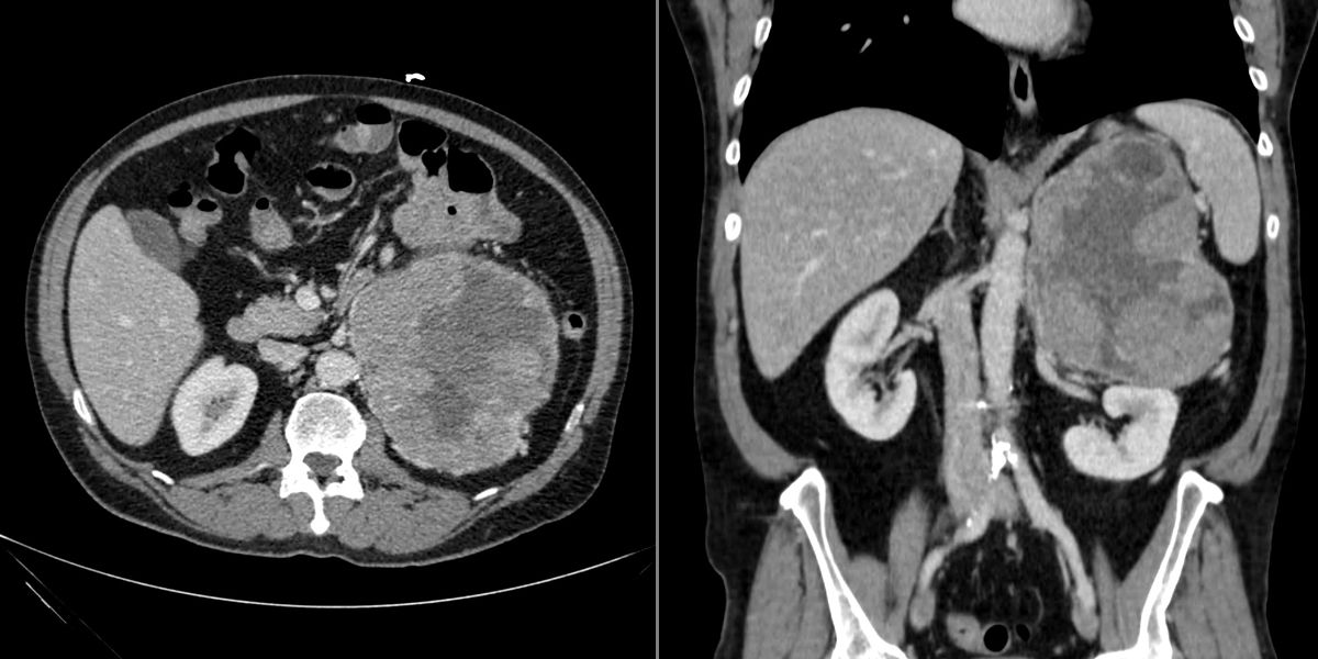
A 56-year-old woman presents with abdominal fullness and virilization. Axial and coronal images from a CT scan of her abdomen are shown below. What is your diagnosis?
A 56-year-old woman presents with abdominal fullness and virilization. Axial and coronal images from a CT scan of her abdomen are shown below.

What is your diagnosis?