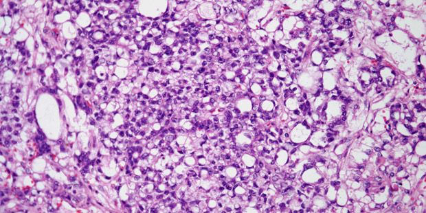
A 43-year-old woman presents with abdominal pain. A mass is found in her right side, and a biopsy is performed. What is your diagnosis?
A 43-year-old woman presents with abdominal pain. A mass is found in her right side, and a biopsy is performed.

Based on the image shown, what is your diagnosis?